Rebuild confidence with clear aligners

Limited time offer! Save £2,000 today

  • FREE whitening, scan & smile simulation
  • FREE retainers, edge smoothing & 24-month follow-up (worth £1,250+)
  • FREE Extra £250 off Invisalign & Spark Aligners
  • From £8.83/day with flexible payment plans
Dentist holding a clear aligner

Fill in your details & we’ll be in touch to book your appointment

On submitting this form you agree to Salisbury Orthodontics collecting your personal data. To learn more about how we collect, use, share and protect your personal data, please read our privacy policy.

Which orthodontic treatment is right for you?

Spread the cost of your orthodontic treatment

To make your orthodontic treatment more affordable, we are pleased to offer ways to spread the cost, including 0% interest payments over 12 months.*

*Finance is provided subject to age, affordability and status. Terms and conditions apply.

Your questions, answered

Most patients looking to improve the appearance of their smiles are suitable for both Invisalign treatment or Spark Aligners treatment. It is very successful for mild to moderate issues, including overcrowding, misalignment, and gaps. At your initial consultation, we will be able to advise the best treatment for you.

What is clear aligner treatment?

Clear aligners don’t use wires or brackets and are barely noticeable. They are thin, transparent, and custom-made to fit your mouth.

The benefits are: Fixed braces Invisalign
They’re practically invisible
No foods are off limits
Easy to clean and care for your teeth
Fast effective treatment

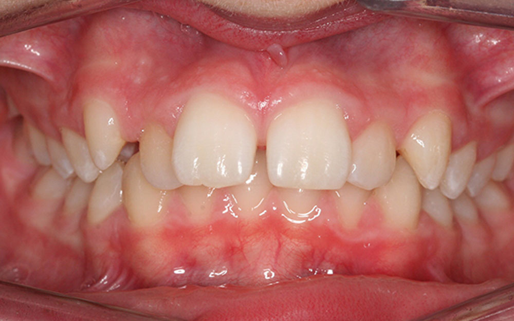
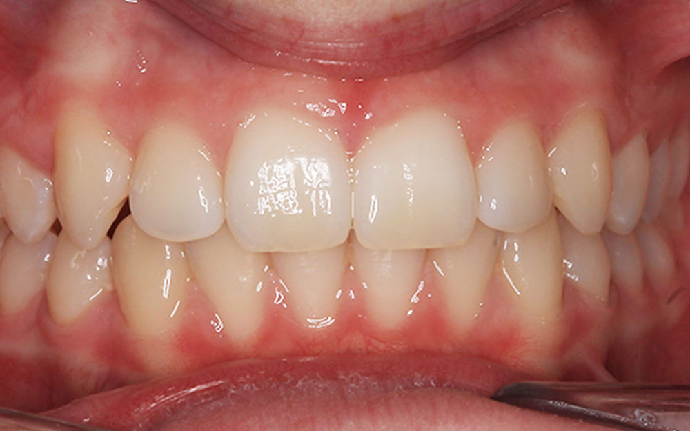
See our amazing results!

Before treatment After treatment

Meet your principal specialist orthodontist, Matthew Clover

Matt graduated from Guy’s Hospital in 1998, served seven years in the Army with postings worldwide, and later completed award-winning orthodontic training at Bristol University. He joined the practice in 2008, became a director in 2013, and now specialises in adult braces while holding several national and local professional committee roles.

Matthew Clover

Meet your specialist orthodontist, Elena Tamas

Elena joined the team in 2014. She graduated from the University of Timisoara, Romania, Faculty of Dental Medicine in 2003. In 2006, she completed a three-year postgraduate qualification in orthodontics and holds the title Specialist in Orthodontics.

Elena Tamas

Over 180 happy patient reviews

See why so many people feel confident choosing us for their orthodontic treatment

  • Jessie De Sutter

    Very friendly staff. Very clear in explaining treatment, keeping the youngster and parent informed throughout the process and about the progress. Happy with the results.

  • Kevin Osborn

    Excellent and friendly service on every single visit. Made the experience more relaxed and stress free! Highly recommend, thank you for everything you did!

  • Julia Izzard

    Amazing professional service. Fantastic results and very welcoming and kind staff thank you. Would recommend without hesitation.

  • Ellen Day

    Both of our sons have received excellent treatment. The orthodontist has been both professional and personable. Their teeth look absolutely wonderful and they are both extremely pleased.

Fill in your details, and we’ll be in touch to book your appointment

On submitting this form you agree to Salisbury Orthodontics collecting your personal data. To learn more about how we collect, use, share and protect your personal data, please read our privacy policy.